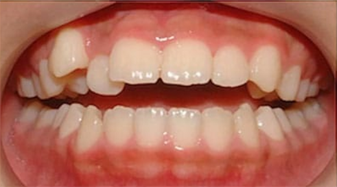
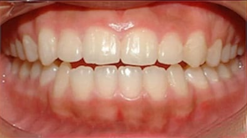
د. طارق داوود اخصائي تقويم الاسنان والوجه والفكين


د.طارق داوود اخصائي تقويم الاسنان والوجه والفكين


د. منى الأمين نائب اول الجلدية والتجميل والليزر


د. منى الأمين نائب اول الجلدية والتجميل والليزر


د.منى الأمين نائب اول الجلدية والتجميل والليزر


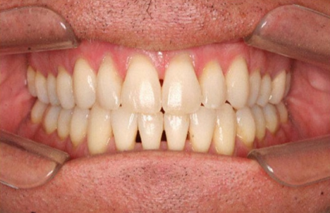
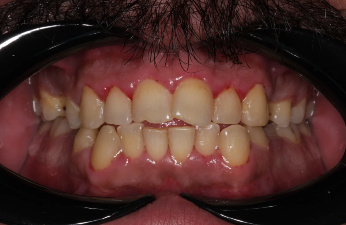
د. ماهر بابصيل أخصائي تجميل و تركيبات الأسنان


د. ماهر بابصيل أخصائي تجميل و تركيبات الأسنان

